Mr. Jochen Fischer - Consultant Orthopaedic & Upper Limb Surgeon 2026-Outstanding-Patient-Experience-Doctify
2025-Outstanding-Patient-Experience-Doctify Your Practice Online
Patient Info

Shoulder

This very active 88 year-old lady sustained a displaced fracture of her humerus following a simple fall. Fixation with a locking-plate allowed early return to function.

displaced fracture displaced fracture

52 year-old lady with a displaced fracture of the proximal humerus requiring surgical fixation with a long locking-plate.

proximal humerus proximal humerus
proximal humerus proximal humerus

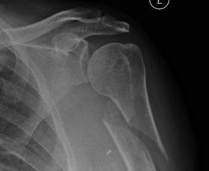
This man sustained a locked posterior fracture dislocation of the shoulder. Open reduction and internal fixation with a locking plate.

locked posterior fracture dislocation locked posterior fracture dislocation
locked posterior fracture dislocation  

This elderly patient sustained a bad fracture-dislocation of the shoulder. This was treated with a reverse shoulder replacement where the normal ball & socket joint gets converted to a socket & ball joint.

reverse shoulder replacement reverse shoulder replacement

The fracture-dislocation of this patients shoulder was treated by open reduction and internal fixation using a Titanium locking-plate.

fracture-dislocation fracture-dislocation
fracture-dislocation  

Shoulder Care
Elbow Care
Hand/ Wrist
Multimedia Patient Education
Patient Forms
Spire Regency Hospital
Orthobiologics
2026-Outstanding-Patient-Experience-Doctify 2025-Outstanding-Patient-Experience-Doctify
 
© Mr. Jochen Fischer Consultant Orthopaedic & Upper Limb Surgeon Macclesfield UK